为啥孩子会长"双层牙",医生:和家长的喂养习惯有关系

相关图片

牙齿科普 第一双尖牙.jpg

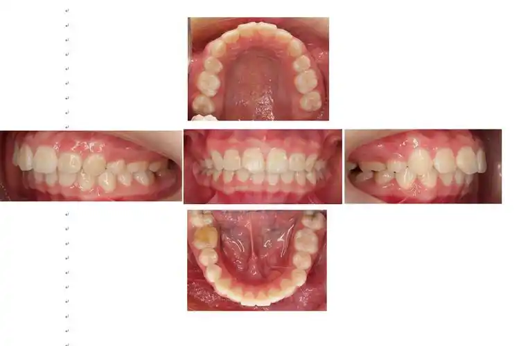
上排术前:牙齿拥挤,后牙咬合关系不佳 矫治通过减数4颗双尖牙,解除牙

牙列拥挤病例拔除四颗双尖牙 - 好大夫在线

儿童下门牙双排牙是怎么回事

原创7岁男孩长"双排牙",需要一颗一颗拔掉,妈妈自责不已:都怪我

随机推荐

向太陈岚年轻时绝美照被疯传网友连张柏芝和关之琳都输给了她

绝地大逃杀晚上吃鸡求生空投箱30*30*30cm多用可折叠 可坐人

这就是每个人羡慕的感情吧#可爱表情包 #表情包分享 #感情 #可爱

肖战身穿灰色拼接西装亮相,bazaar明星慈善夜,对镜头大方挥手微笑

有什么好看的动漫情侣头像

酷酷的大男孩😎#刘耀文 #刘耀文壁纸 #刘耀文第二十条 # - 抖音

笼中鸟

爱乐维说明适应症:用于妊娠期和哺乳期妇女对维生素,矿物质和微量元素