下颌第一前磨牙 前磨牙中体积最小,颊舌尖高度差最大,合面有横嵴

相关图片

下颌第一磨牙牙体形态简述ppt

下颌第一磨牙解剖图

下颌第一磨牙指向颊侧的沟状根尖,x线片上不明显

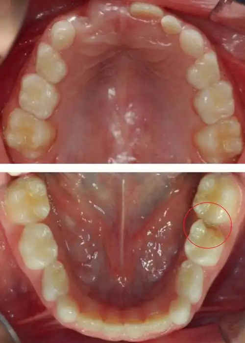
(上颌和下颌弓的正面临床视图)口腔内检查发现左侧第二乳磨牙有龋齿

下颌第一磨牙牙体形态简述ppt

随机推荐

王源夏野了全新创作专辑独家首发

q版奇迹暖暖十二星座图片

十二生肖简笔画图片大全_十二生肖怎么画_儿童十二生肖简笔画的画法

男生发型港风侧背男生发型港风侧背

ai绘画#二次元少女#如何驯服ai#十二星座水瓶座@抖音热 - 抖音

朴灿烈##朴灿烈全肯定

英雄烈士谱|赵登禹:将军血战不归还 - 中华人民共和国国防部

《英雄联盟手游》复活甲购买分享 复活甲如何买