杀螨止痒.用于治疗痤疮. 4

相关图片

送棉签】扬帆新肤螨灵软膏 20g杀螨虫止痒治疗痤疮含甲硝唑药

新福满灵 新肤螨灵软膏 20g

净螨膏座螨灵新肤螨虫脸上祛痘痤疮青春痘唑疮乳液

金盾 消炎杀螨膏宠物狗狗真菌螨虫猫除螨皮肤病药膏猫癣猫藓外用药

满虫除螨祛痘膏

随机推荐

谭松韵请笃信一个梦愿愿你心中始终笃信爱与温柔

肖战个人资料简介 肖战,1991年10月5日出生于重庆市,中国内地男演员

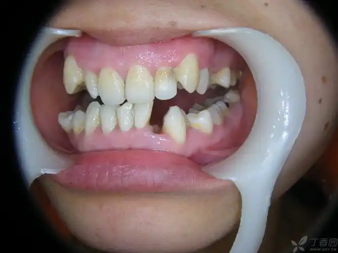
【经验交流】下侧切牙双根一例

人潮汹涌终极预告#今日发布,刘德华和肖央身份互换,又跟不同的人裳葺

14k包金马贝珍珠

缤纷假日缤纷过个性手工巧制作——一(2)班暑假手工制作展

情侣头像卡通呆萌一对 高清卡通呆萌情侣头像一对

太帅了!#cv倒霉死勒 # - 抖音