种植牙全口牙需最少种多少颗植体听说上下6颗植体就能搞定

相关图片

26岁做了种植牙我好后悔种牙后痛到绝望种的牙3年就坏了

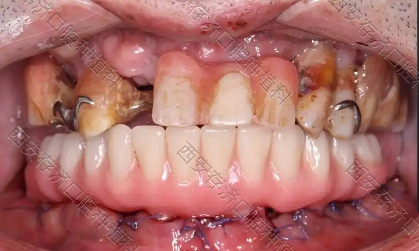
西安存济口腔医院口腔种植科舒适化下all-on-6下半口即刻种植固定修复

六颗种植牙两个月反馈

这些都是广州暨大穗华口腔荔湾院区的半全口种植牙病例

六颗种植牙两个月反馈

随机推荐

大余砂炒烫皮江西赣南特产蒜香手工沙炒汤皮客家零食休闲小吃 汤皮骨

图集潘玮柏(wilberpan),1980年8月6日出生于美国西弗吉尼亚州,祖籍

邀请函——打开占星星图,探索生命奥秘 - it610.com

网红同款锡纸烫烟花烫日系少女男女生泡面假发日常短发型基佬毛发

看取莲花净,方知不染心什么意思

女生烟花烫短发烫发图片能让女生变洋气烟花烫造型

修身牛仔裤显成熟,搭配透明鞋子御姐风十足

新款纯色上衣宽松休闲大码外套妈妈装夹克减龄中老年女装2024春款