扯领口 真的很那个(午夜场必备

相关图片

扯领带头像真人图片 无脸男生半身白衬衫扯领带图片

扯领带情侣头像

邓为扯领带

扯领带头像真人图片 无脸男生半身白衬衫扯领带图片

男神扯领带点燃荷尔蒙 千玺王俊凯迟帅陈伟霆谁让你窒息

随机推荐

易烊千玺光阴的故事拍摄花絮#左看右看向前看可爱浅钱嘟嘴玩99

61岁刘德华与45岁黄晓明同框,真正的帅和装帅的区别让人大开眼界 在

刘德华范冰冰同框.

想知道什么叫一见钟情吗?就在我见到你的这一秒#李现杨紫 #多 - 抖音

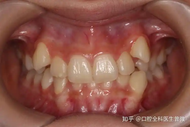
可以看到她的牙列非常拥挤,前牙错位,虎牙上翘,中线不齐,严重影响咬合

来一波肖战签名照喜欢的小飞侠快快来收藏哦

iphonex壁纸高级花

海星日落沙滩,大海,阳光 壁纸 - 1680x1050