救…埋伏牙,还是虎牙,终于解决了!

相关图片

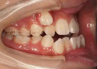
虎牙不矫正有危害吗?矫正的话需要多久!

了),上4号牙因为和虎牙重叠一点拔的时候碰到虎牙神经了疼了一个星期

为什么宝宝先长虎牙

虎牙是指长在上颌门牙旁的两颗尖牙,又被称为犬齿,在所有牙齿中牙根是

她虎牙长得很小,但在虎牙的外面,也就是牙床外面又长出两个牙根

随机推荐

肖战

易烊千玺脸上的口罩印##中国医生花开春还公益mv

梁洁古装好美##梁洁新剧状态

羊毛卷是很洋气的发型,为什么有的人烫了却特别老气?

治愈动漫《夏目友人帐》高清动漫图片桌面壁纸

整箱伊利牛奶24盒纯牛奶特价特浓精选奶源乳品纯牛奶

眼镜四叶草梅花云纹镂空窗花中国古风文艺挂脖眼镜链

女团blackpink泰国成员lisa晒私服生活照,黑色短裙显嫩白美腿