如何治疗恼人的面肌痉挛?

相关图片

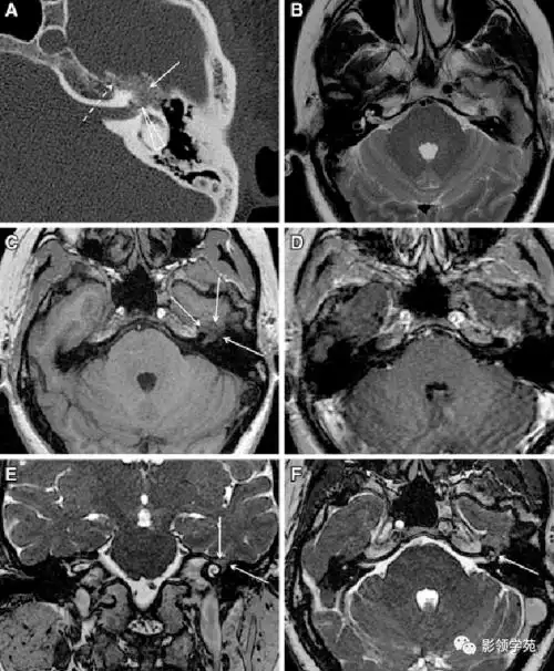
三叉神经痛,面肌痉挛手术前的主要影像学检查

面神经解剖ppt

面神经解剖及常见病变影像诊断

面神经解剖及相关病变

颅脑轴位mri解剖

随机推荐

手绘与剪贴结合20张装饰感十足的拼贴画作品拯救创意美术缺灵感的你

时代少年团最佳组合##马嘉祺说会坚持组合优先##时代少年团的获奖

壁纸,高清壁纸自然,动物,鸟类,植物,粉红色的花朵,花卉,颜色,粉色

分享来咯,这里的女生们都将自己身体中最精致好看的部位展现了出来,吸

贾静雯和黄智雯对比照贾静雯和黄智雯怎么长得那么像

烟花烫发型推荐 适合所有男生脸型的发型,谁烫谁帅

封神榜上有八大家族: 黄飞虎家族有12人被封神位,黄飞虎本人被封东岳

城市风景建筑摄影高清手机壁纸