虎牙长得太丑了,好想直接拔掉啊!_浩特手游网

相关图片

可想而知虎牙根是有多长拔掉了歪歪扭扭的虎牙(根部都很歪)希望以后的

虎牙到底应不应该拔掉

如图,左边的虎牙是4年前摔断了半个,然后牙神经拔掉了,右边的门牙是小

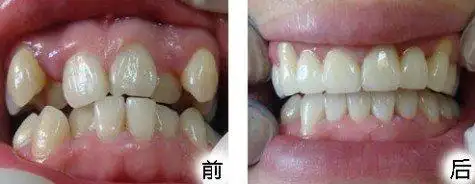
虎牙矫正前后对比图

外突虎牙如何修复治疗

随机推荐

俏皮可爱少女唯美高清写真图片壁纸

侧脸剪影图片

科幻壁纸303

徐静蕾写真图片-自制1080x960壁纸.大图-明星写真馆n63.com

寻秦记》单人版海报曝光 陈翔持剑戎装,霸气来袭 - 影视资讯 | 爱剧情

帅气男生简笔画帅气男生简笔画侧脸

剧集开场,马国明饰演的ok仔,就已经体现出了"赌技"——虽然对象只是一

网红气垫烫发型简单好看不显老