咬合良好,接下来就是好好戴保持器啦~ #虎牙突出 #虎牙矫正 #牙齿

相关图片

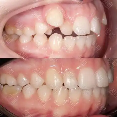
虎牙错位拥挤怎么矫正?

25岁高龄少女虎牙矫正记录 - 知乎

来矫正的顾客,很多都是尖牙突出,也就是人们口中的虎牙长在牙列的

再见小尖牙,虎牙矫正结束啦~69

虎牙矫正视频全过程:1-12个月

随机推荐

g社拍的张艺兴林允儿##戛纳红毯

刘德华_g调 _流行钢琴谱五线谱独奏谱_钢琴谱|钢琴五线谱|钢琴简谱

壁纸古风石家小鬼淡雅水墨山水风雅

求大神,帮做心形文字图片,带样图, 把名字改成张硕硕,谢谢了!

回顾陈龙:和好兄弟胡歌六搭出演《繁花》,娶章龄之,今家庭圆满

600_589gif 动态图 动图

【小顾测评】悦刻一代对比维刻v1,到底谁更强?

给我哭