丧衣服

相关图片

自己曾看到过儿子穿堂姐的衣服,而红衣男孩死亡时所穿的红裙,女

悲剧,老人穿红衣服进羊圈被羊顶死

段时间,女性都是非常受压迫的,很多妇女受冤屈无处申诉,最后含恨而死

在民间故事中,为什么厉鬼总是穿着红色的衣服?

贝拉-哈迪德确实是个红色的死忠粉,她外出时候的红色露肩针织衫

随机推荐

昆凌暗黑系魅惑高清桌面壁纸

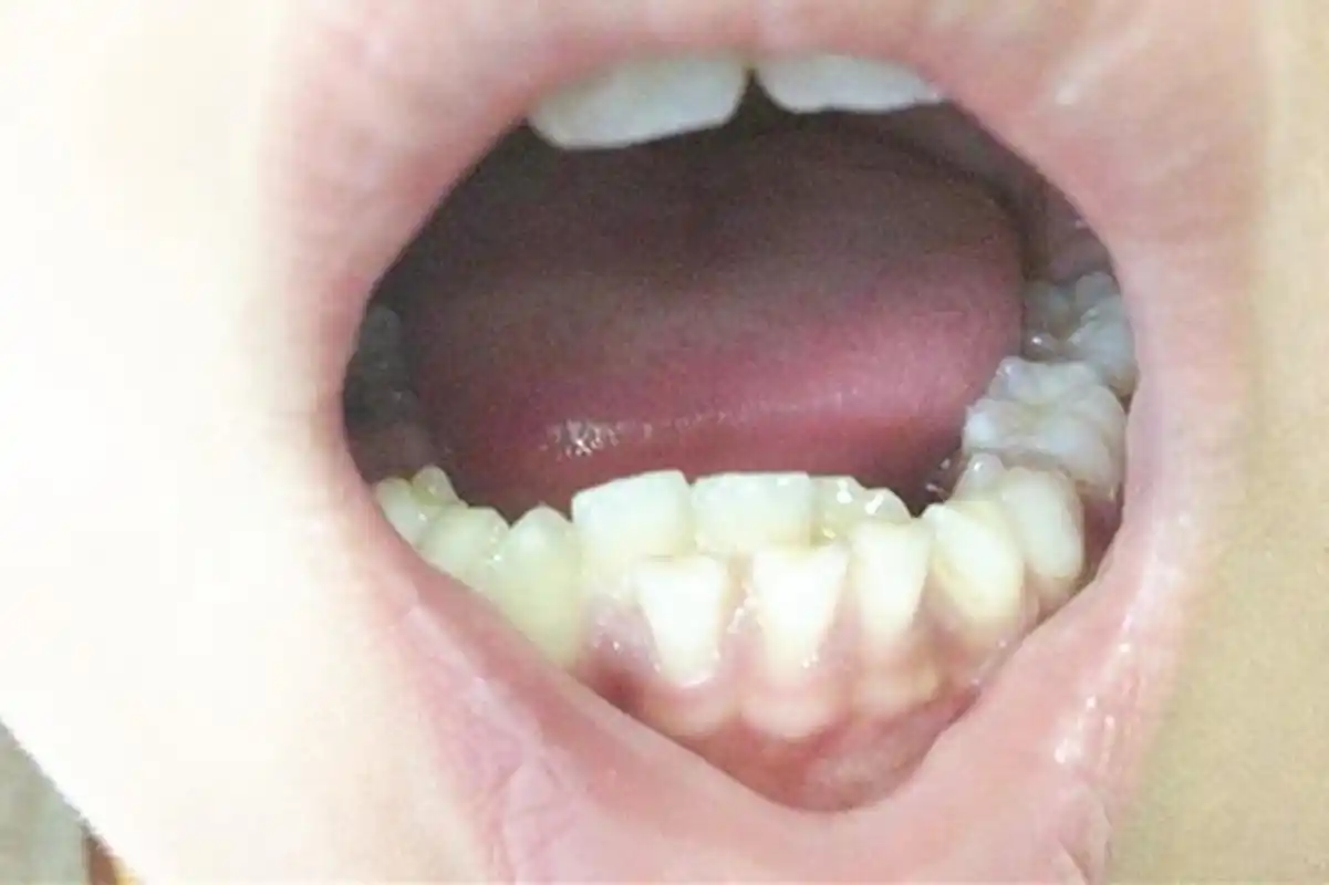
7岁孩子长出双排牙,都因奶奶有这个坏习惯,很多家长都要反思

潘信燃作词 祁隆作曲 潘信燃作曲 任妙音演唱 祁隆演唱 ,原创歌曲简谱

短发烫个卷可以让你看起来更有活力,俏皮感慵懒感满满,头发烫完后蓬松

花千骨妖神cosplay

羽毛球跳杀教学 learn the jump smash!

黄轩最帅的头像_微信头像图片大全

该用什么样诗词来描述这烟雨江南古镇呢?#古风古韵#江南#古镇 - 抖音