脚掌大拇指和二拇指骨折,多长时间能好,有后遗症吗?

相关图片

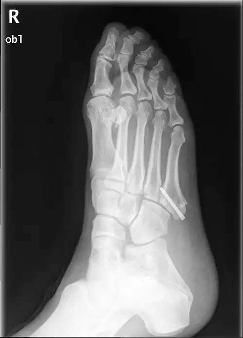
右脚第五跖骨基底部骨折

祸不单行,一不小心把脚弄骨折了,成人的世界里,没有容易二字, - 抖音

足部骨折患者的x线照片

6岁 女 左足第五跖骨远端骨折

第5跖骨基底部骨折

随机推荐

友友们都喜欢任嘉伦哪个发型

有没有暴发户有毛不易的图片无水印的

她和丈夫恩爱21年,丈夫大红后抛弃她,如今两人却要再次合作!

建议45岁以上的中年女人少留这些大妈发型显老还没气质

万众一心 众志成城战疫情工作汇报ppt模板汇编.ppt

lol云顶之弈:神话级小小英雄明码标价!

1,先画出上头的报头文字,画出"快乐成长"四个大字,在下边画一个快乐的

救活截肢位最高半截人的布吉医院现在面临关停