可爱手绘女孩矢量素材_矢量人物_懒人图库

相关图片

女生动漫人物头像 女生动漫人物头像图片可爱

卡通人物可爱少女头像116张 甜美萌萌哒_女生动漫头像_头像屋

ps卡通人物练习 卡通头像 可爱女孩 动画效果展示

卡通人物可爱少女头像116张 甜美萌萌哒_女生动漫头像_头像屋

可爱的小薇 壁纸 头像 女生 可爱 q版 人物

随机推荐

贾玲"整容式"减肥近照曝光:暴瘦后颜值惊人!背后太多心酸泪

《好声音》今晚大牌多黄渤莫文蔚齐豫都来了

肖战 唐三

滕讯体育nba全明星湖人队24号科比布莱恩特球衣8号黑曼巴经典黄色白色

手绘平面布置图马克笔室内两室一厅作业

170郭麒麟和168宋轶站一起,身高差距很明显,这是怎么回事?

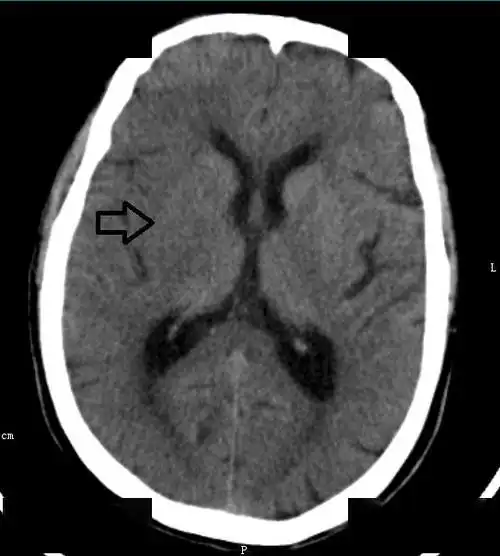
67超急性期大面积脑梗死ct平扫表现

3d植物大战僵尸15:小鬼僵尸,召唤出最强机甲,对战威严大树_哔哩哔哩