4月24日,工作人员为记者展示拔掉的虎牙.新华社记者 赵丹丹 摄

相关图片

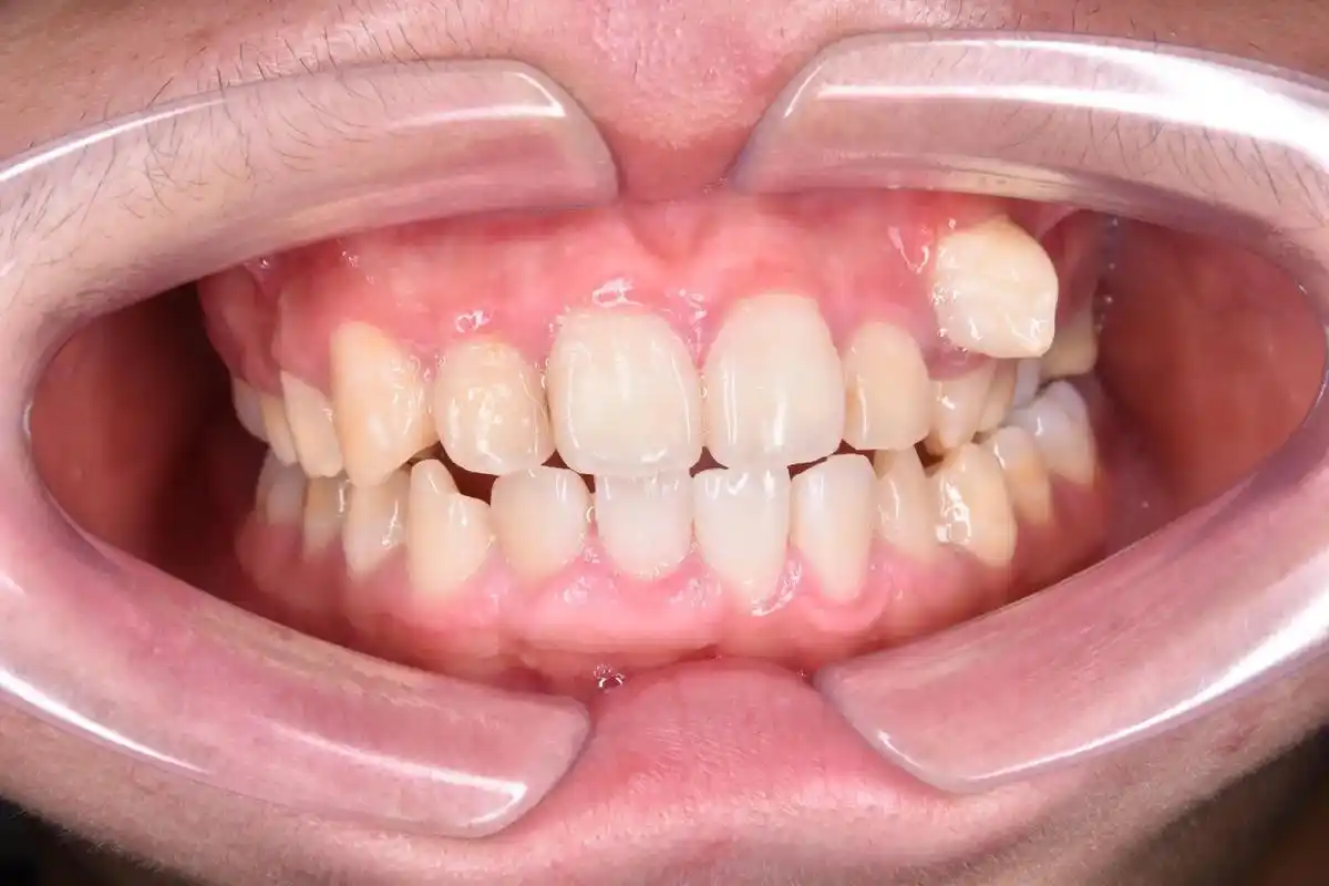
可想而知虎牙根是有多长拔掉了歪歪扭扭的虎牙(根部都很歪)希望以后的

"虎牙"突出来,拔掉就好了?(口腔科普第十八期) - 好大夫在线

虎牙能不能拔掉##虎牙需要矫正吗##虎牙正畸

为什么拔牙矫正中,医生一般都不建议拔虎牙?

虎牙要拔除吗?需要戴牙套做矫正吗?_手机搜狐网

随机推荐

张柏芝清纯旧照曝光 穿吊带露肩t恤笑容灿烂

对三星堆文物的解释

正装皮鞋 #正装男 #大叔 #男人变帅只需要一套西装 #成 - 抖音

80年代的孩子.#老照片的故事 #那个年代 #珍贵影像 #照 - 抖音

常年胃疼,这个胃药是我妈给我买的,叫参苓健脾胃颗粒,是中成药, 不会

姐妹萌有1988里正焕哥哥正峰的头像吗

男生帅气锅盖头发型

【手机壁纸】妖扬王敬轩