ュセブン オフィシャルファンブック 4 idolish 7偶像星愿官方粉丝书4

相关图片

【idolish7-偶像星愿-】為你獻上-goodnight-【mad】

【偶像星愿】2022 四叶环生日卡抽卡记录(自存)

idolish7偶像星愿建议音量6070只是拼命去唱一定能打动他们的心i7真的

idolish7偶像星愿千百遇到决定了你的手我握了不会放掉

idolish7偶像星愿新人抽卡视频(内含福利)_哔哩哔哩_bilibili

随机推荐

佟丽娅终于放开了!穿香槟色深v长裙,大秀"事业线",太惊艳!

周杰伦 头文字d

头像少女心爆棚图片大全 高清超可爱少女心爆棚的头像_女生动漫头像

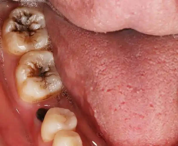
龋齿(蛀牙)能严重到什么地步?

汽车防冻液多长时间更换原车防冻液能用几年

大型青春女团snh48 group官方网站

古人描绘十八层地狱胆小勿入

万圣节的背景是满月,蝙蝠的轮廓,可怕的死树在黑暗幽灵的夜晚多云的