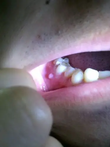
有块肉长到了牙齿上面怎么办?

相关图片

宝宝牙龈上长牙齿怎么办

您好 请帮忙看看 孩子的牙龈长了肉疙瘩 不疼不痒 不爱吃饭 该怎么办

牙龈长小肉芽

牙肉长东西了

门牙牙根没掉 牙龈上长出新牙

随机推荐

唯美花花草草图片电脑桌面壁纸下载 第二辑

钢琴复地钢琴键照片

吴亦凡狱中喊话蔡徐坤:缝纫机都踩冒烟了你才来 最近,令人震惊的消息

日式花臂japanesetattooifyouarei

短发的倪妮挺温柔的,穿t恤搭配绿色短裤,中性风不掩少女感

【左星佑你】《so hot》pv星佑ver. | 段星星 x 刘冠佑

gta5:小富日记12-3,出租车小哥,辛苦辛苦!把车借我,你去休息

头发留长的wuli凡一身黑色西装,全新造型引燃全场! 吴亦凡上