张震岳再见架子鼓动态鼓谱

相关图片

再见_张震岳_c调_流行钢琴谱五线谱独奏谱_钢琴谱|钢琴五线谱|钢琴

0093张震岳再见鼓谱动态15元

再见(g调,弹唱版)钢琴谱-解忧杂谱库-虫虫钢琴

张震岳 - 再见 鼓谱 动态鼓谱 简谱歌词版 金牌乐手无鼓伴奏

再见-男儿本色片尾曲-张震岳五线谱预览4

随机推荐

招财头像#优质头像 #头像女#头像 - 抖音

陈奕迅寂寞夜晚duo陈奕迅2010演唱会part107收藏级画质

贵圈10大女星卸妆后丑照,柳岩一点不性感,baby反差有点大

91夜景灯光唯美,城市风景壁纸大赏78 90夜晚的城市,华灯初上

白羊座最害怕的星座是什么,白羊座最怕的3个星座

拉伸部位胸大肌胸小肌背阔肌

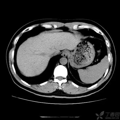
【讨论】肝内胆管轻度扩张,有哪些原因?

迪士尼公主