小时候虎牙萌,长大后它却害你越来越

相关图片

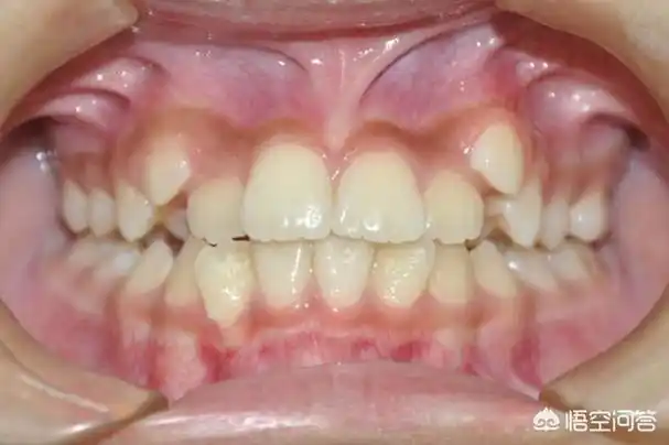
虎牙怎么分辨真假你需要学习了

如何鉴定真虎牙?(老虎的虎牙) - 知乎

科普知识虎年话虎牙

看起来可爱的虎牙,隐藏着你不知道的坏处!

抚平尖尖小虎牙喜提73嘴角甜美小括号

随机推荐

素描肖像《蔡徐坤》教程 7815第一步:起稿,我为了让形体画的更准

杨洋17年蓝发造型##杨洋演技

卡通老虎

太阳神阿波罗跑车桌面壁纸

唐朝仙气古风学生班服青少年大码男士古装男童古装儿童唐装古少爷服套

180cm和160cm有什么区别?人体身高机制的秘密.-柠檬ai自媒体

秀芹说向我开炮的图片 是怎样的坚持和信仰

鞋靴 流行男鞋 休闲鞋 斐乐fila 男帆布鞋 f12m024401f bk-黑色 8/41