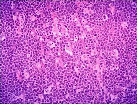
伯基特淋巴瘤的病理诊断和鉴别诊断(一)

相关图片

乳糜性胸水咋确定

骨髓异常增生综合征合并巨幼细胞性贫血1例

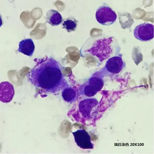
镜下观如图所示,以下叙述中错误的是 ( )

镜下观如图所示以下叙述中错误的是

马立克氏病的机理病理

随机推荐

云南晋宁躲猫猫事件躲猫猫事件最终结果受到法律的惩罚

霍建华 2016.03.18 担任boss"man of today"中国区代言人

英语花体字书写范例(26个字母的图片)

徐帆加拿大

竹笛e调古风曲目分享

8,多和老公做肢体上的亲密接触

毛不易的不染简谱出炉

小马宝莉:穗龙全身发着光,不一会长出来一对翅膀,好神奇!