宝宝半岁了,牙床已经白了一个多月了,今天突然看到宝宝长牙的地方成

相关图片

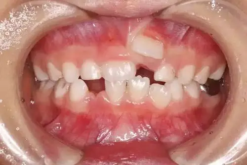
我家小孩现已十岁零四个月,男孩,在其两颗犬牙上面的牙龈处各长出两

宝宝一周半牙齿早就长齐了,今天发现她左上边大牙外又长出了一颗小牙

宝宝牙龈外侧长小白点是啥原因?6个月大的孩子,不像是长牙的求助

孩子9岁了,有一颗要换掉的牙齿牙龈长出来了,请问要去看医生吗

我家宝宝最裏面的牙龈肿大了两三天后,牙龈上面长出了一小块肉芽请问

随机推荐

杨紫真敢说一语道破观众真实感受向往的生活5并不向往

疤痕移植是使用自己的毛发来移植到新的位置上,所以毛发的存活率很高.

古力娜扎卫衣配半裙好酷!

宝藏女孩孟子义抱着泰迪拍美照嘟嘴卖萌表情超可爱

亲子头像|四口之家两个女儿手绘创意头像

加装车棚,会被罚吗?

粉色裤子搭配什么颜色上衣好看

绿河秦迷通过花瓣iphone客户端采集于2020-08-06 20:31:40琦玉一拳