尖牙"虎牙"长歪了,经常有被误拔或被要求拔除,除非特殊情况, - 抖音

相关图片

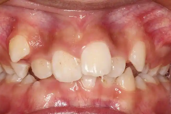
有这样一位宝妈,把自己儿子的"小尖牙"的照片发布在了网上,并进行了

下颌尖牙图

万圣节吸血鬼假牙僵尸假牙尖小虎牙diy假牙道具cosplay化妆

腭侧阻生尖牙牵引病例

【原创博客】埋伏尖牙的外科电刀开窗导萌

随机推荐

青白江妇幼保健院儿童生长发育义诊周来啦_身高

蒋依依灵动又漂亮,真的好喜欢[抱抱][抱抱]#养眼美女# #蒋依依

太极图中的阴阳鱼,把阴阳之道"你中有我,我中有你"的道理演绎得淋漓

原创杨蓉袖珍身材却挺有内容一手掐小蛮腰让人羡慕太时尚

nine percent代言海报图片壁纸

[2016超级女声]湖北直通区百强选手名单出炉

演员刘琳:和导演同居3年惨遭抛弃,立马嫁人,却事业爱情双丰收

同仁堂 国公酒 328ml/瓶