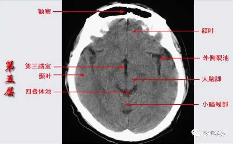
头颅ct 解剖图谱,人手一份

相关图片

一套非常牛的「头颅ct解剖图谱」

头颅ct解剖与常见出血梗死判读

头颅ct 解剖图谱,人手一份

头颅ct 解剖图谱,人手一份

解剖颅脑ct断层中英文对照干货满满

随机推荐

穿法的敦煌系列汉服出货啦,在线征集种草小姬啦#儿童汉服 #敦煌飞天

pink 粉色系 少女心 卡通 可爱 小清新 简约 森系 文艺 动漫 手绘

5位"新生代"古装美男:任嘉伦封神,罗云熙绝美,邓伦最妖孽

并入住了四天外,该媒体还称欧阳娜娜叫男方"老公",并且表示两人现在是

有没有宋亚轩的壁纸

综合材料-月球肌理

暗黑4封面角色竟有如此来头

圆脸胖子 发型 修脸又显高