脚趾骨折多久可以下地走路

相关图片

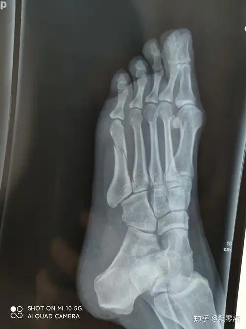
左脚第五趾骨基底骨折恢复过程记录

佑三调理右足第五趾骨骨折20天活动自由痊愈如初

脚第5跖骨骨折35

12岁初一,右脚趾骨骨折,已经打了12天石膏,25天复诊时能不能拆了,这样

患者教育:足趾骨折(基础篇)_骨折_介绍_症状表现_检查_治疗方式_日常

随机推荐

日式老传统火男面具纹身手稿

滑稽,绵羊,相互,关系,两只,羊

而这组照片中还有一张是李小璐的素颜照,并且李小璐还配文:在家的时候

迪丽热巴这个状态很好了呀!没必要尬黑吧!虽然没有精修加高p图

饺子包法分解图奉上 另分享无敌鲜美嫩滑饺子馅做法 鲜嫩多汁97

吴谨言新剧,丈夫抛妻荒野,陈乔恩当"后妈"

恰似你的温柔蔡琴

唐静个人资料及图片(王新军前妻唐静现在的老公是谁)(14)