十二星座拟人化

相关图片

十二星座q版拟人天秤座绘画插画原创分享 周末到了!

原创十二星座绘画,根据星座不同的性格设计了拟人形象.

十二星座拟人 你最喜欢哪个星座

十二星座拟人【射手座】

画师绘制12星座拟人化,金牛座是清新少女,射手座让人一见钟情

随机推荐

女性体重对照表,看看你属于哪个档次?

女生可爱动漫头像

阴阳图片

动漫人物手绘线稿图非常适合初学者临摹

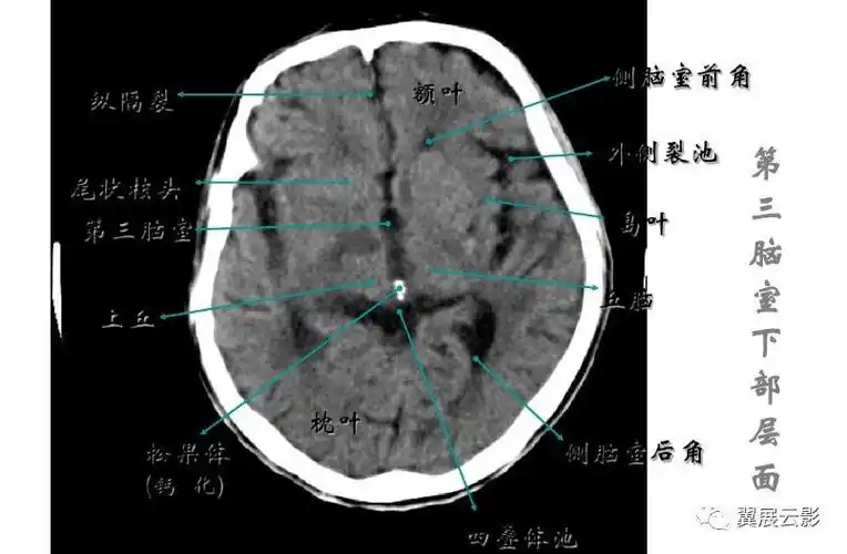
颅脑常见疾病ct诊断

七彩云南拍鸟纪(七)银耳相思鸟

她是《刘老根》里的山杏!现实里的她是正师级待遇,十佳魅力女人

北京这一夜对比盛装打扮的金晨姜妍竟然比金晨更漂亮呢