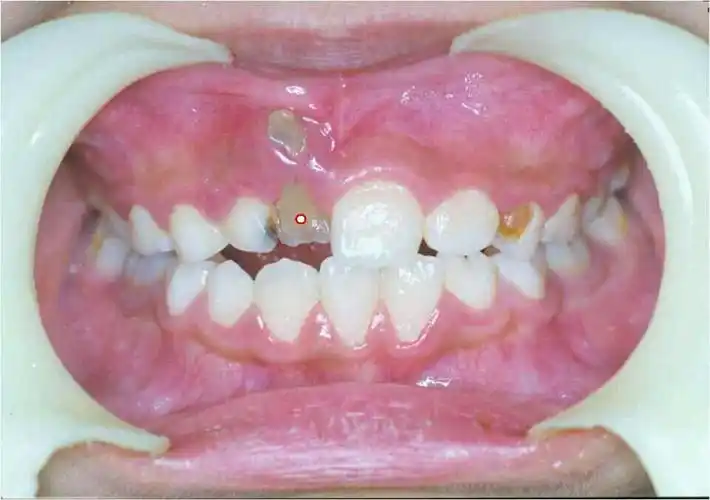
乳牙没掉,新牙直接长牙龈里边了,怎么办?

相关图片

家长必学的关于宝宝长牙的相关知识_乳牙_牙齿_恒牙

战略支援部队特色医学中心口腔保健系列科普之五:乳牙牙龈起包是咋

请问一下我崽这样乳牙还没掉新牙就长出来了,该怎么办,拔掉乳牙还是

孩子长了双排牙乳牙滞留乳牙迟迟不脱落影响宝宝口腔健康

乳牙|母乳|宝宝吃奶|磨牙_网易订阅

随机推荐

刘耀文壁纸分享

四川网咖圆寸男孩走红,他却嫌自己鼻子太大?|寸头|侧颜_网易订阅

graff高级珠宝蝴蝶系列白钻项链

高清渣男全屏专用壁纸污图片

1280_2276竖版 竖屏

我不许有人没看过这段!尹浩宇×周柯宇分手小剧场太搞笑了

吴冠中吴冠中 渔归 立轴 纸本吴冠中艺术作品大全()书法绘画作品字帖

1928年,国际天文学联合会明确地将全天空划分为88个星座区域.