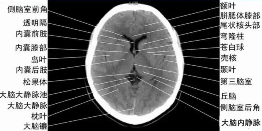
颅脑ct的正常解剖

相关图片

颅脑ct怎么看正常和异常影像分别是什么

学习这些颅脑ct图,大脑运动起来升升温吧!

影像医生必须掌握的头颅ct解剖与常见出血梗死判读

解剖入门颅脑ct断层中英文对照

详细标注版——颅脑ct正常解剖图谱_中央_小脑_纤维

随机推荐

北京的这一夜,脸肿,无精打采,刘德华的状态狠狠打内娱男星的脸_生活

杨钰莹脸肿清纯不复存在否认整容传闻

僧侣双手合十祈祷

职业女性 #职场日常 #韩系证件照 #ps证件照 #证件照 #西装

wei苏打绿春日光fullalbum

【经典收藏】王琳凯签名照 小鬼签名照保真非印刷 小鬼3【图片 价格

blackpink 饭绘 卡通 壁纸 头像 cr.

港媒爆料:谢霆锋17岁儿子和47岁女教练恋爱同居,张柏芝被气住院_王菲