武星一点都不ai!进来看帅哥照片

相关图片

第三季帅哥.这一组帅哥,是照片帅哥!假如,心情不好的话,多看 - 抖音

#gq精修版陈哲远#

帅哥照片头像 好看的帅哥图片头像高清_男生头像_头像屋

大家有什么心目中的白月光帅哥推荐吗?

精致的帅哥,每一张照片都有一个故事

随机推荐

收手吧杨幂,舍不得张嘴就别演戏!李少红说的"不过脑子"太对了

百利玛江浙沪核心经销商到访苏州泰诺风交流学习

微信头像图片老鹰_头像图片_扣扣乐园

网红圆框墨镜女可近视2021新款防紫外线度数太阳镜太阳眼镜

吊钩挂钩起重重型国标卸扣防脱卡u型吊耳吊环弓型d型吊车起重

这些大脸明星照样貌美如花!

她是"最美赵敏":18岁出道,56岁未婚未育,活成大家羡慕的样子_张敏

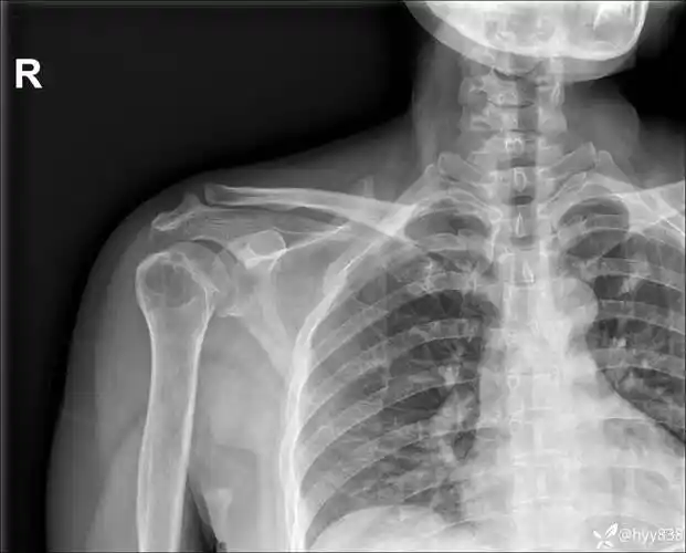
中年女性,发现右肩关节占位2天.有特征,有细节---(有结果)