这些红细胞异常,您都掌握了吗?

相关图片

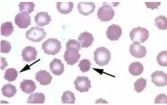
点击空白处查看答案钝锯齿形(皱缩)红细胞外周血涂片,瑞氏-吉姆萨染色

那些年曾经被混淆过的红细胞

【临床基本功】红细胞异常知多少4

镜下结果血小板与网织红细胞通道结果基本一致,镜下还可见大量的细胞

血红细胞图片

随机推荐

tfboys十周年演唱会各家头像

「婚后易胖」是真的!变胖,是对结婚最起码的尊重~_手机搜狐网

沙雕表情包,可爱到爆表!

动漫美女巴哈姆特之怒图片桌面壁纸高清大图预览1920x1080_卡通动漫

马超幸存者帅气头像 王者荣耀幸存者马超头像

韩式帅气纹理烫 简约阳光颜值翻倍_男生烫发 - 美发站

女性第一次性生活一定会见红吗?答案是 - 抖音

苹果电脑mac原生壁纸