大脚骨要做截骨有点怕可以不用截骨吗

相关图片

也是简单的截骨断筋,暂时看起来大脚骨的形状是治好了,但是没有办法

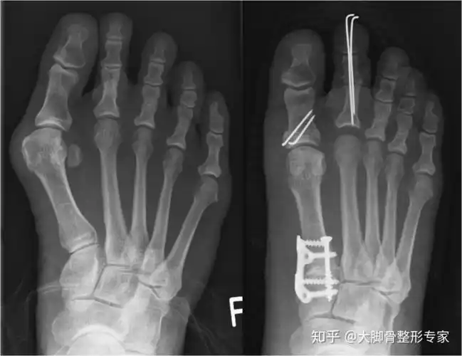
在临床选择中有很多种方法,根据跖骨截骨部位大致分为远端截骨,中段截

既然是一跖骨偏斜导致了大脚骨,那就需要通过截骨等方式将一跖骨掰直

勐海县中医医院成功开展拇外翻截骨矫形手术

项目一:大脚骨手术 大家都知道关于大脚骨手术,有好多医院是做不了的.

随机推荐

中国女明星里谁的腿特别好看

pride双人座e-go电动代步车

爱的二八定律杨幂许凯两人对视嘴唇未播先火cp感爆棚

魔廷女王在线鞭挞dota2痛苦女王至宝魔廷新尊现已推出

嗨,鬼来啦 - 斗图大会 - 表情,搞笑表情表情库 - 真正的斗图网站

演员辛月:老公于震不是"家暴男",我是三个孩子的幸福妈妈

张真源签名照

太阳系实地勘测报告