军艺校草杨洋从舞蹈尖子到荧屏团演艺道路的意外与坚持

相关图片

来看看军艺校草杨洋穿军装的样子吧~_高清图集_新浪网

军艺校草转型硬核兵哥杨洋的寸头军装a到爆

杨洋不愧是军艺校草,工装外套尽显男神范,雕刻般的侧颜好帅气

杨洋5年前的地铁视频好像偶像剧这个笑容好治愈不愧是军艺校草

杨洋从军艺校草到逐渐翰化原来长得帅也会被反噬

随机推荐

韩式梦幻音乐会海报画册矢量背景素材免抠素材免费下载_觅元素51yuans

被杨紫这组图片惊艳到了!

马嘉祺晒九宫格营业图 紫色毛衣出镜,森系氛围感拉满 侧颜好绝啊

热门表情包图片_设计幽默搞笑图片_乐美图网

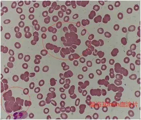
遇到红细胞冷凝集的应对措施

乘风破浪的姐姐 黄龄

低于上一套1000万深圳湾一号南北一线海景价格可谈

无人机打药 - 数字乡村平台