皓月ct头颅图像技术和样片分享

相关图片

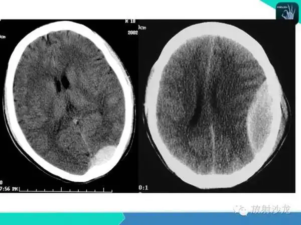
67超急性期大面积脑梗死ct平扫表现

图6. 2017年5月15日头颅ct显示脑沟脑池不清晰,脑肿胀明显.

读片丨女30岁间断性头痛颅脑ctmri

最全的颅脑常见病ct表现在这里!

图19:2015-4-19 ct:脑室系统正常

随机推荐

曦之签名纯手写个性艺术签名设计书法家logo设计一笔商务广告设计

招财金龙鱼摆件客厅装饰品水琉璃工艺品创意摆设店铺开张开业礼品

(葛优)_卧槽_葛优_阿姨_使不得表情

之特别行动特工代号黄金眼johnny黄景瑜执行任务搅和

褶皱显瘦粗中跟高筒靴子女白色长靴尖头靴女骑士靴秋冬新款百搭美

腹肌

莎士比亚故居斯特拉特福

牛皮纸单瓦楞纸箱三层