小孩得了肺炎,我们在日常中该如何护理呢? 正常胸片

相关图片

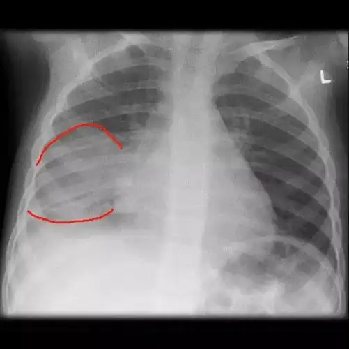
胸片可见两肺弥漫炎性渗出影,因此诊断为小儿支气管肺炎

小儿支气管肺炎的诊断

儿童肺炎时胸片怎么看呢

(详细讲解肺炎胸片和最新病案~)

新生儿肺纹理粗不一定是肺炎,有可能是:新生儿湿肺

随机推荐

不只是一件衣服旗袍如何演绎中国女性的风情万种?

张智霖突发胆囊炎送急诊工作室宣告原定行程延后

魏大勋早期和女明星李念的拉手照片,两个人亲密无间酷似情侣,不知现任

时尚高街风飘染发色也能盖白发拉

如何通过手指快速计算年龄和属相

京选优品品牌万能沙发套弹力全包四季通用布艺防尘罩夏季现代双人防猫

易烊千玺gq内场##易烊千玺手拿dv走红毯

英国公司zipcharge推出纯电动车充电宝半小时增加32公里续航