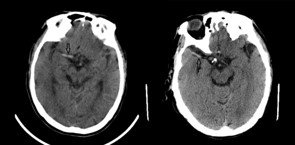
67超急性期大面积脑梗死ct平扫表现

相关图片

手把手教你基础颅脑mr平扫及后处理

67超急性期大面积脑梗死ct平扫表现

通过ct平扫和核磁t2及flair像,均发现病灶显示不是很明显,容易造成漏

▎头颅ct平扫有高血压病史10年,最高血压190/100mmhg,目前口服药物

术前检查头颅ct平扫发现"颅底凹陷症"1例_测量_枕骨_形态

随机推荐

演员王箐的个人资料 何炅老婆儿子照片流出? 何炅老婆儿子

微信头像图片2021最火爆霸气女

人生百味 唯药最苦 中药治病 生活致命 熬最晚 - 抖音

攻壳机动队中,素子为什么有大胸? - 知乎

歪头的时候也嗲嗲嘚#lacoste品牌全球代言人王一博##王一博

帅气与可爱并存的小男孩头像男生头像小男孩抖音

光着脚丫的美女你最喜欢那一张

看56岁郑伊健现在的处境才知道导演王晶的话终究是错了