拇外翻俗称大脚骨的微创无痛美容矫正术

相关图片

北京正规大脚骨医院圣嘉新看的如何?

18岁女孩和妈妈都是大脚骨,是遗传吗,怎么治?骨科老牛来支招!

重度大脚骨

汤汤播报这样的大脚骨看着都疼

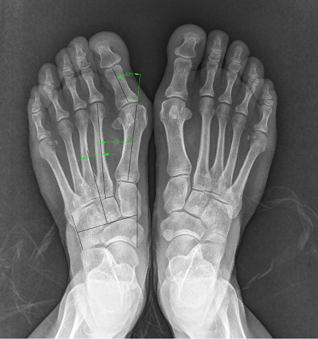
对于重度拇外翻(拇外翻角大于40°,第1,2跖骨间夹角大于20°),除常规

随机推荐

秀恩爱死得快,此话果然不假! 你俩是要做一对亡命鸳鸯吗?

小清新护眼高清电脑桌面壁纸图片高清大图预览1920x1200_风景壁纸下载

前段时间因为被正式判刑而登上热搜的吴亦凡,近日却连他的妈妈也登上

赵丽颖超话

于明加从不做饭不洗碗结婚13年生两女如今被丈夫宠成宝

搞笑一刻:东方曜初见偶像李白时,紧张的连话都说不出来

漫画男头像

米卡在舞台上对鞠婧祎单膝下跪,鞠婧祎开心甜笑