蒙胧细雨中的江南小镇——乌镇老药店

相关图片

桐君阁为大众提供优良的购药环境,精品中药,中药橱一角.

少见的中药铺

《大沈阳说如东》如东老字号:你想知道掘港的老中药店吗?

无梦到徽州之(二)屯溪老街

中药店

随机推荐

『亲爱的热爱的』佟年♀杨紫

范冰冰晒"下装失踪"照!只穿西装配白t,气场强大还越来越年轻

图文铁梨花上星首播岳丽娜

到基辅旅游了解乌克兰女人喜欢的出行方式

天门山是张家界海拔最高的山,因自然奇观天门洞而得名,主峰1518.6米.

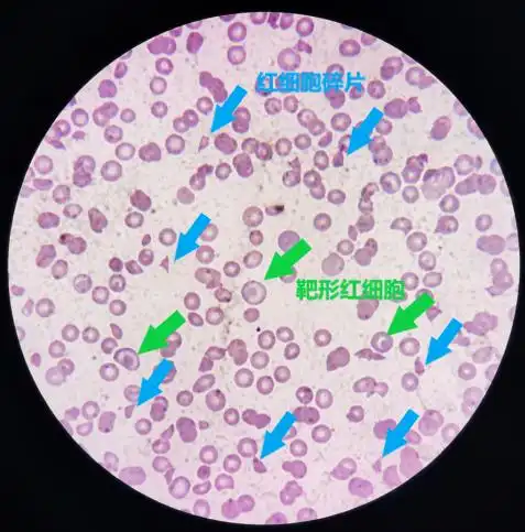
镜下结果血小板与网织红细胞通道结果基本一致,镜下还可见大量的细胞

lol兄弟名字2人霸气的lol兄弟名字大全霸气

幼儿园,小学学校,有8岁及以下小男孩子家庭里都是排队接童子尿的绝佳