肺结核如何诊断从胸部ct到实验室检查一文讲清世界防治结核病日

相关图片

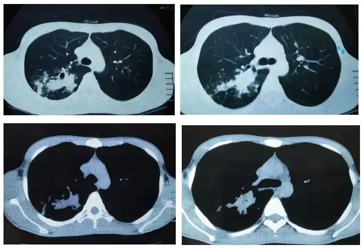
从ct上判断肺结核传染性的三种征象

多发小结节状卫星灶的肺结核

陈起航教授肺结核的影像学评价遏制终止终结肺结核2

南京江北医院成功治愈难治型肺结核患者

咳嗽咳痰6年小伙吃激素竟吃出肺结核

随机推荐

杨紫工作室把地砖p弯了

羿坤英伦绅士黑白写真曝光高冷忧郁气质迷人展熟男魅力

烧烤木屋食材新鲜白菜娃娃户外半成品蔬菜5串其它

风中摇曳的风铃图片

大海边风景自然风景画唯美海滩海浪礁石白云蓝天摄影海报墙贴q125

央视《新闻联播》播音员 海霞

「日漫」棋魂完全版(小畑健)漫画全,百度网盘下载

分享一组高清白色背景男士西装证件照模板 毕业季 有需要做简历的小