宋茜同款曼妮芬无钢圈舒适聚拢光面无痕百搭文胸时尚美背内衣女020

相关图片

【欧阳娜娜同款】无尺码系列背心式文胸无钢圈内衣女明星同款

金晨同款夏娃之秀文胸女内衣光面抹胸薄杯软钢圈上托聚拢内衣6818黑色

女士内衣专场 16春夏新品-性感蕾丝香槟肤3/4罩上薄下厚模杯文胸 商品

张嘉倪做出了很大的牺牲,纵观如今娱乐圈中当红女明星们拍摄内衣代言

intimissimi大中华区品牌代言人王紫璇##意式时尚内衣##美丽由我

随机推荐

张韶涵-堆糖,美好生活研究所

女生头像|伤感女生头像真人高清很丧 2022很丧很抑郁的女头真人

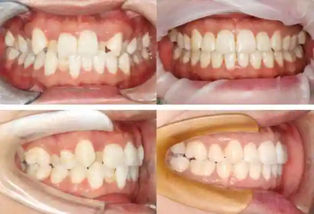
深圳拜尔齿科 | 牙齿矫正可以改变脸型吗?

韩云云个人资料 韩云云主演过的小品

女性在怀孕早期会出现褐色分泌物是什么情况确定妊娠后不准备生育|血

芦荟老桩

福建西山学校2014年高中部高一11班吴章乐挂历照

音乐1