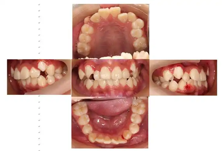
医生,我家孩子长了双排的牙齿,怎么办

相关图片

别再这样喂养孩子,小心养出双排牙的小"怪兽"

10个孩子5个是双排牙,这是怎么回事呢?可能都是父母的错

牙列拥挤病例拔除四颗双尖牙 - 好大夫在线

两颗双尖牙的死与生

什么样的牙齿要拔除呢? - vvsmile牙齿隐形矫正的回答 - 头条问答

随机推荐

杨幂白衬衣配领带,真是优雅又有气质,不愧是女神,真是穿什么都好看啊

css3 图片3d 旋转-用你的名字生成3d旋转壁纸,酷!

龚俊代言的荣耀80,主题也不错

丽萍妹妹的生日宴 新锦江大酒店(2019一01一03)

梦幻风景3d渲染壁纸,高清图片,电脑桌面-壁纸族

盘点80年代香港帅气男明星刘德华梁朝伟周润发黄日华他们那时都好青涩

龙底生态漂流

头大脸大男生适合发型男孩扁头大脸适合什么发型2