虎牙是什么虎牙是病吗

相关图片

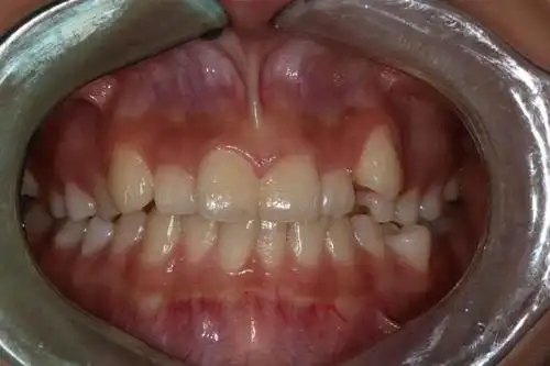
先来了解一下虎牙的位置

的牙齿,发现下排的两个虎牙位置竟然也跟爸爸的一样~真的好神奇啊!

有虎牙是一种怎样的体验?

可爱的虎牙有可能成为可怕的口腔隐患

为什么宝宝先长虎牙

随机推荐

" data-lemmaid="305391">中央戏剧学院 /a>,中国内地影视男演员,中国

法式穿搭天花板杨采钰

919699模特出身的孔孝真可以说是韩国最会穿的女星之一,虽然她

我靠. 白敬亭这身材

陈晓老婆超自信陈妍希昔日素颜去游泳趴泳池边不惧镜头

王铎行书墨迹《绝粮帖》(大图) - 第2页 _明清书家_书法欣赏

吴亦凡kris 可爱卡通漫画 壁纸头像

可以看出来海边的效果做的也是非常的不错的,请大家满满观赏gta5高清