齿性红细胞 营养不良 肠功能下降 减肥人群 糖尿病患者 长期吃肉不

相关图片

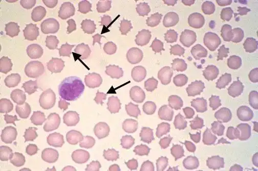
点击空白处查看答案钝锯齿形(皱缩)红细胞外周血涂片,瑞氏-吉姆萨染色

【临床基本功】红细胞异常知多少4

这些红细胞异常,您都掌握了吗?

请报告箭头所指细胞的名称点击空白处查看答案钝锯齿形(皱缩)红细胞

红细胞|淋巴细胞|粒细胞|血小板_网易订阅

随机推荐

张天爱# 身穿黑色吊带裙,秀丽卷发披肩,明眸皓齿,烈焰红唇,香肩玉背

王嘉宁,央视著名新生代主持人,当之无愧的后起之秀.

跟着王菲的香港电影《重庆森林》学穿搭,色彩搭配太适合夏天了

服装设计说明

孙艺珍#玄彬#爱情 - 抖音

一个人吃饭,睡觉,工作,恢复单身生活,一个人或者也挺好,那么你的价值

问问你们有没有v家表情包?

两侧变窄