上颌中切牙形态特征简述ppt

相关图片

【病例分享】中切牙的修复:复合树脂直接修复vs全瓷贴面修复

口腔解剖生理学雕牙上颌中切牙

中切牙简笔画

原创上中切牙树脂充填图片

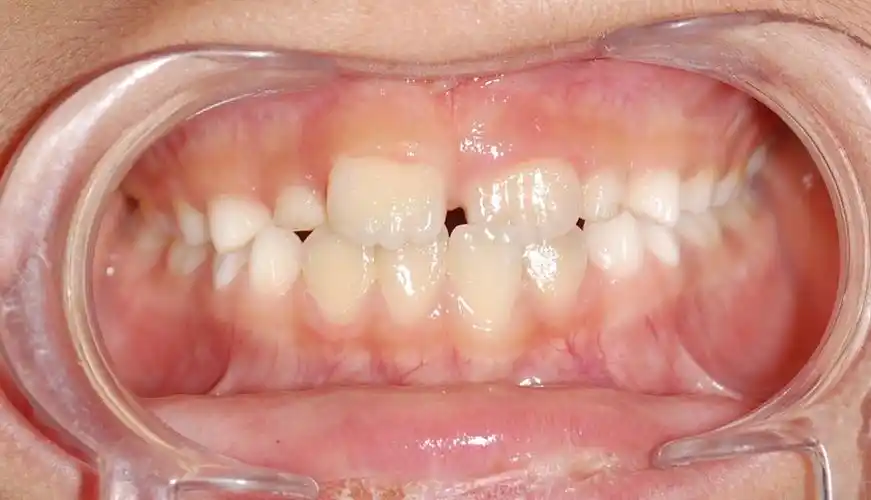
左上中切牙被包住了,叫个别牙地包天,也需要矫治除了看牙齿咬合,还有

随机推荐

张艺兴间接承认"绯闻",看杨紫做出的反应:真性情果然不一样 (1)

李沁生图 笑起来没皱纹皮肤白牙齿白 没整容33岁高清镜头下这状态还

抖音号: 87168333317 本命:任嘉伦 墙头:刘学义,任豪,蔡徐坤,易烊

裘千尺逼迫杨过为婿杨过宁死不从,身中巨毒的他该何去何从(1)

【宇宙少女】【团魂】平庸不止于平庸 巅峰不甘于巅峰.

卡通小女孩矢量图装饰

7barya7">周扬,1985年6月6日出生于辽宁省大连市,中国内地影视女演员

本人大油田,敏感肌,脸上的毛孔大到可以插秧,坚持用了一个月,肉眼可见