杜淳老婆王灿晒美照,一身绿色打扮又嫩又漂亮,网友吐槽太想火了

相关图片

原创王灿出月子后首次外出,穿破洞裤,被嘲"乡村女企业家"不生气

王灿

组图搜狐神六报道美女主播王灿写真集

王灿晒坐月子照片小腹已恢复平坦透露生产前一天吃火锅女儿性格火爆

《婆婆和妈妈2》王灿陪老公健身 杜淳大秀肌肉线条荷尔蒙爆棚

随机推荐

禁欲系霸总既视感耶!怎么能把皮衣穿的这么好看还不油腻呀!

群星演唱会.2023年6月10日20:00南宁国际 - 抖音

甜美可爱的人物插画"q版爱丽丝"头像首选,活泼感十足,萌萌哒

《锦衣之下》后,任嘉伦还能有突破吗?_容婳_林敬_江湖

真人女头像小清新背影 可爱风漂亮的一个人高清女生图片

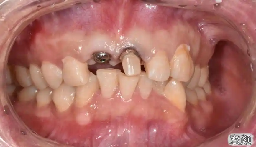
口腔种植牙全过程揭秘

蒙古族民族特色风情餐厅装饰壁纸抖音主播直播间蒙古包背景墙壁画

很喜欢的几张blackpink电脑壁纸