67超急性期大面积脑梗死ct平扫表现

相关图片

值班必备 | 急诊颅脑ct常见的八种疾病

图6. 2017年5月15日头颅ct显示脑沟脑池不清晰,脑肿胀明显.

影像总结头颅ct基本知识与常见病变

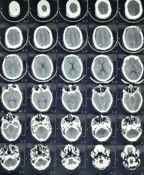
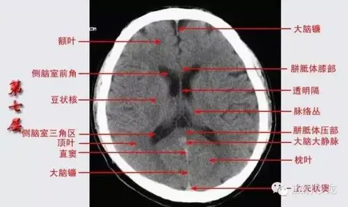
头颅ct断层解剖

头颅ct扫描时如何打角度才能看得更多更清晰

随机推荐

炫酷机甲壁纸 炫酷机甲壁纸

王俊凯:养嫂子事件水落石出|黄安|王源|易烊千玺|tfboys_网易订阅

甄子丹60岁生日,汪诗诗与团队安排聚会,明星朋友到现场祝贺_夫妇_老婆

付辛博出道16周年##付辛博晒照庆祝出道16周年

张佳宁罕见露性感香肩,吊带半掩诱惑十足,搭配火红大衣实在妖艳

功夫,哑女黄圣依初登场,流泪场景漂亮的不可方物

做头发女星前夫 杨洋魏大勋 男流量 张艺谋赵丽颖 杨紫 刘浩存最新

桃小仙 二花 动漫卡通 pc电脑桌面壁纸头像大合集