好美的背影,以为喇叭裤会很休闲没想到却很显身材

相关图片

身材好不好,看背影就知道了

好身材秀出来,背影女神,路还长背影要迷人!-度小视

意境感十足的美女背影图片

【背影女神】这身材绝了 第二弹

欧美背影女生头像?

随机推荐

精选高清黑色背景创意桌面壁纸下载

粉色,浪漫的少女心,高清图片,电脑桌面-壁纸族

刘青云,郭蔼明同张家辉,关咏荷呢两pair,系圈中出名嘅模范夫妻,零绯闻

100副创意联想画

孟佳的腿好绝,满屏都是大长腿,姐姐我可以!

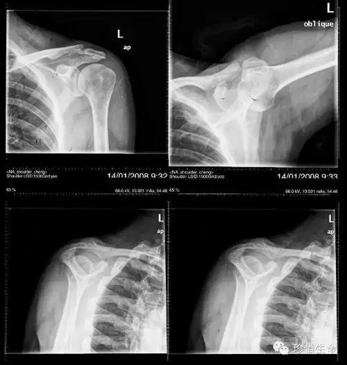
肩关节x线检查体位大全

阴险狡猾的俩蒙面女杀手_哔哩哔哩_bilibili

牛皮女鞋方头鞋金属扣通勤职业工作鞋春季新款定大小码女鞋皮鞋黑色35