这样能够让虎牙回到正常的位置和解决虎牙畸形问题

相关图片

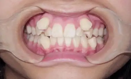
虎牙矫正用什么矫治器

你的"虎牙"好看吗?

看图片,这样的虎牙怎么样影响美观吗?需要整吗

小时候虎牙萌,长大后它却害你越来越

虎牙牙根长,起到支撑面部的作用

随机推荐

唯美金丝桃植物特写高清宽屏壁纸

动漫手绘exo吴世勋 高清手机壁纸 头像 图源水印 禁商用 二转注明作者

摩登兄弟大艺为何要走摩登兄弟大艺哥退出原因是什么

一天夜里,孟非醒来发现妻子李雪正在偷偷翻他手机,于是假装睡着,第二

《凤囚凰》马雪云毒计被戳穿,马相:你是不是蠢到家了

历史,设计,使用方法和优缺点 现代化武器是军事力量的必备装备,随着

唐朝皇帝列表及关中十八唐帝陵

士官皮鞋07三接头皮鞋男士军工保安07a士官三尖头士兵军人07b旗舰店