面神经解剖及常见病变影像诊断

相关图片

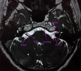
三叉神经痛,面肌痉挛手术前的主要影像学检查

面神经解剖及常见病变影像诊断

面神经解剖及常见病变影像诊断

【转贴】颞骨ct扫描中的面神经

术中图像术中充分分离面神经上方责任血管,并予teflon棉垫离减压.

随机推荐

p>须佐能乎,日本漫画《 a target="_blank" href="/item/火影忍者

tfboys三小只

然而,在他入狱后不久,流量时代的另外"半壁江山"蔡徐坤,李易峰也跟着

事实证明,这么多年,我们都错怪张翰了|翰哥|爽子|林更新|古力娜扎

哈巴狗

lol:游戏中被什么击杀最难受,点燃只排第五,它绝对排第一!

万能胶水强力粘金属ab卡夫特耐高温焊接粘ab胶高温防水胶65g铸工胶

汗斑真的退了