为什么明星的牙齿都那么白

相关图片

牙齿图片_牙齿图片大全_全景图片

请一定保护好牙齿07

美容修复 >牙齿美白4大"陷阱" 越来越多的人,把牙齿看作是自己的第

牙齿萎缩

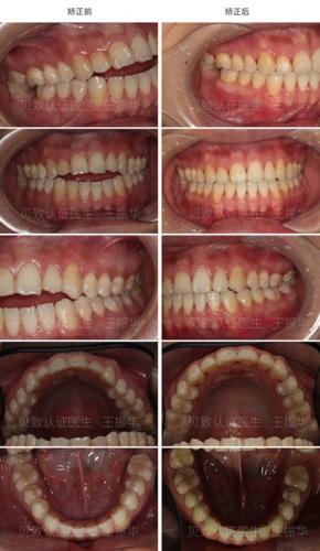
贝致案例库 > 面条咬不断男生矫正,牙齿好才能胃口好正常人的前牙能够

随机推荐

杨幂最新怼脸大片曝光,让我们见识到了她无滤镜无美颜的真实状态.

古风头像 男头 帅气 温雅公子 - 高清图片,堆糖,美图壁纸兴趣社区

发型7中分八字刘海 短发扎发稍微上一点的中分八字刘海相当修颜分分钟

人们常说三十而立,不知道杨洋大帅哥有没有考虑谈恋爱结婚生子呢?

qq头像女生背影长发高清好看的长发女生背影头像唯美

重磅顶级梦幻烟花今晚南湖首秀

《百鸟朝凤》音乐教案ppt

省委副书记,省委政法委书记谌贻琴,副省长,省公安厅厅长孙立成出席