十岁孩子牙龈上长牙齿?怎么办?

相关图片

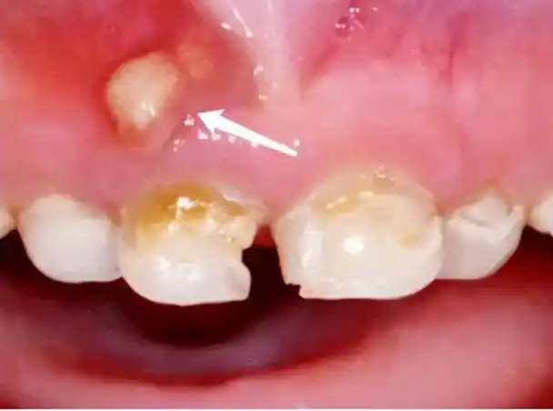
牙齿长到牙龈上,不容易呀!# - 抖音

这是怎么了,三周岁小女孩牙床上长个小包,不疼,吃什么药解决

牙龈上长脓包的危害可不能小觑|周炎|牙齿|感染_新浪新闻

宝宝大牙牙龈发紫是怎么回事 是长牙齿憋的

牙龈康 适用于牙龈肿包牙根瘘管囊肿长脓包鼓包牙齿根尖周炎牙龈康 一

随机推荐

赵又廷黑白光影写真气质卓然 五官分明线条如雕刻般令人沉沦

仙女辫短发编发 甜美清新超有少女感-时尚扎发-发型站_最新流行发型

张艺兴演唱会.其实很早就画完了!见面吧,这个炎热的夏天.@张 - 抖音

马嘉祺红衣舞台合集

影视里最尴尬的穿帮镜头,这第3张,笑喷了!

沈阳区域型购物中心的又一代表作即将呈现皇姑万象汇5月20日自在启幕

济南莱芜烧饼专业培训班

"千年积雪万年松,直上人间第一峰"767676来自5a级景区长白山的