怎么选择适合自己的种植牙呢

相关图片

种植牙模型图

上海种植牙医院排名前十排行榜名单,均为正规上海种牙医院!

关于种植牙的疑问答案都在这儿了

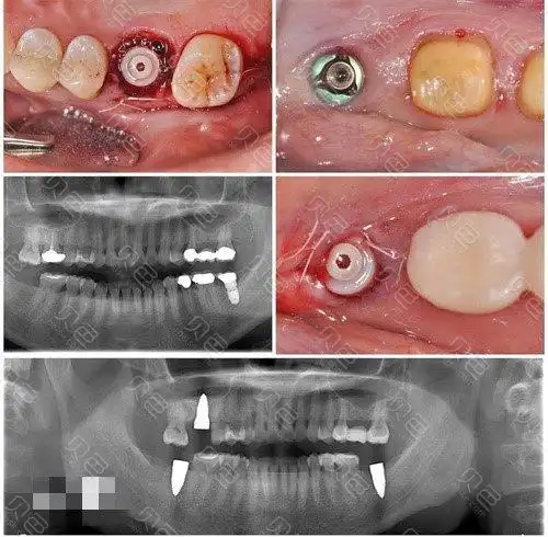
即刻拔牙后做半口瑞士士卓曼钛锆亲水种植牙,花了8.8万

种植牙修复过程中常出现的并发症及其处理_医学界-助力医生临床决策和

随机推荐

换个发型等于换脸 今年春夏有这三款就够了|寸头|锅盖头|发型_新浪

男星穿校服有多帅杨洋俊朗王源清新少年李易峰不愧是校草

火影忍者高清壁纸分享,官网都找不到的图,关注我保存更多美漫!

彭于晏藏蓝色西装白衬衫 帅气撩人

李奇龙

快看,你的蓝朋友来了!电镀海洋蓝,犹如一道闪电自大海中闪现 - 抖音

20181008天天天下完整版

我军东风15导弹剑指苍穹显威力