血型正反定型 abo 都出现凝集?_手机搜狐网

相关图片

交叉配血试验中的红细胞凝集.用手机拍照.

无法纠正的红细胞凝集结果到底该如何发

一例红细胞冷凝集导致血常规计数偏差

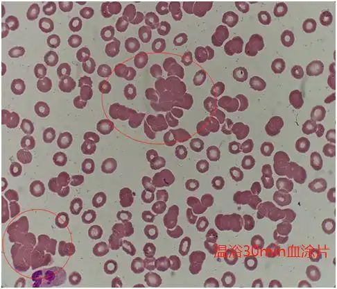
又用生理盐水洗涤红细胞三次后,重做血型,没有再发生弱凝集,结果为b型

自身免疫性溶血性贫血引起的血标本红细胞凝集

随机推荐

烟雨江湖地图一览图

杨幂的身材太绝了,让人移不开眼

有没有姐妹跟我一样分不清邱泽贺军翔?

指甲根部裂缝,前部分鼓起,指甲变型.怎么治疗?

有压力的女人拿着笔记本电脑工作中压力很大的人. 男人抓住了他的头.

情感文案丨那些陪伴着小孩一起幸福成长的唯美句子

被夸爆99婚纱照组成相框挂家里也太好看了叭06 #婚纱照 # - 抖音

你是否认识颜色?能读出这些颜色的人都是万中挑一!_脑力