贫血的大量红细胞和正常的差异

相关图片

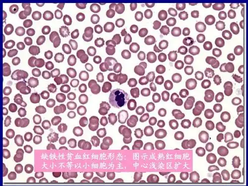
营养性贫血缺铁ppt 医学 儿科学 课件 讲义 , 缺铁性贫血红细胞形态

5个孩子就有1个缺铁性贫血,家长注意了,这些事情不能忽略|红细胞|含铁

镰刀型细胞贫血症 圆饼型的红细胞 镰刀状的红细胞

出血|溶血性贫血|红细胞|大葱_网易订阅

贫血是纯红细胞再生障碍性贫血的唯一症状

随机推荐

angelababy:风波与质疑 angelababy,原名杨颖,以其精致的面容和多变的

简约梦幻独角兽背景图

蔡徐坤亮相gq白发银框眼镜眼神太绝我却注意生图下他的皮肤

霸气励志简短的座右铭

山河令 #温客行 #周子舒 #相见恨晚幸未晚 #不再辜负四 - 抖音

发型美美哒软件扫一扫测脸型

病娇动漫壁纸暗黑

迷你所爱 感谢4s店办的活动,吃的很开心,也认识了一群可爱的迷你小